
受检者检查当天穿宽松两件套的衣服,检查前一天早上开始吃流质食物(如粥,牛奶),忌蔬菜,水果,油腻食物;
检查前一天晚上吃一次泻药(如潘泻叶冲水喝);检查当日空腹来院。

口服后借助消化道蠕动使之在消化道内运动,从食道→胃→十二指肠→小肠→结肠→直肠的方向运行探测,胶囊内的摄像头像卫星扫描技术一样, 对经过的腔段进行连续摄像,以每秒两幅图像的拍摄频率,通过电磁信号被无线传输到病人随身携带的数码记录仪上。

OMOM胶囊内镜数码相机工作结束后,医生即可取下数据记录仪与影像工作站连接,下载数万张图像数据,能有效诊断整个消化道疾病, 更能探测到被称为胃肠检查盲区的“小肠”。在无线胶囊吞服8~24小时后,就会由患者的肠道自动安全排除体外。
病人往往认为,做胃镜就是那种插管的,吞服胶囊是无稽之谈,传统观念太深,知识面影响到了自己的选择。其实胶囊内镜在某些方面更胜于电子胃镜,除电子胃镜可以镜下取肉活检外特点。相比胶囊内镜的数万探头准确度。胶囊内镜更为优胜。

OMOM胶囊内镜智能探测器仅为胶囊大小,轻松吞咽,无需麻醉、插管,无创伤、无痛苦。

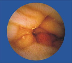
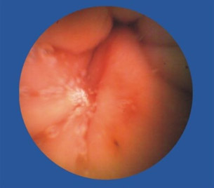
李女士,46岁。患有腹痛、腹泻、慢性肠炎等病史。肛门处轻度下坠感、偶有大便时肛门疼痛。口服胃肠药物,偶有缓解,但反复发作。经常规胃镜、肠镜、B超等检查未发现特殊病变,后到四川肛肠就诊车洪英主任结合腹痛部位考虑小肠病变可能,建议李女士做胶囊内镜检查,李女士在了解了胶囊内镜的检查原理及适应症、禁忌症后欣然接受此项检查。后经过胶囊内镜详细检查,确定了病变位置,然后李主任制定了详细的治疗方案,经过我院详细的治疗,李女士最后康复。

便血,去做检查,痔疮、胃镜、纤维结肠镜都做后,的出结论——小肠流血,但结肠镜够不着,还是看不见在具体位置。因此,也算是体验了下高科技,胶囊内镜。试过后真是感叹,这玩意儿真厉害!比普通药丸子稍大,一喝水下去了。自动掉头,自动拍照,自动传输。拉出来后找护士要了些消毒药水洗了下,细细观察。发现镜头口径有点小最多1mm,确实是高科技,这么小的东西,包括了拍照(可能是2个小时内的连续拍照),无线信号传输,方向姿势控制等等,厉害。

近日,67岁的陈爷爷因为便血导致严重贫血,胃镜、肠镜都做了却查不出病因。被转送到四川肛肠医院后,陈爷爷本来以为要再接受一次痛苦的内镜检查,没想到,医生给出的检查方式却是要他吞下一颗“胶囊”,同时穿上一件连着各种数据线的背心。很快,医生就发现陈爷爷的小肠上面存在一个不断出血的溃疡,经过手术,医生终于治好了陈爷爷的“怪病”。陈爷爷吞下的其实是一种叫“OMOM胶囊内镜”的检查仪器,主要用于小肠疾病的排查。
1、检查前两日吃少渣半流质食物(如粥,牛奶),忌油腻食物。
如有长期便秘者需要提前清肠。
2.检查前24小时内及检查期间,不抽烟。
3.检查前2个小时,禁服用任何药物。
4.大便排出清水样时来医院检查。
在4个小时后可以食用干粮,如:饼干,馒头,面包等等。不能喝水及吃流质及半流质饮食。患者在8-10个小时后可以恢复正常饮食!
在做胶囊内镜的前一天需要到医院做好肠道准备,(需要口服果导片及在院内做大肠水疗),第二天早上患者自行在家服用甘露醇,然后到院后再服用胶囊内镜即可!
胶囊内镜的报告单是以图文报告形式的,如胃镜检查报告单类似。
使用社交帐号登录
或以游客身份发布